X 下眼瞼脱脂術+下眼瞼脂肪注入 症例経過写真 | プリモ麻布十番クリニック 2503

症例写真

X 下眼瞼脱脂術+下眼瞼脂肪注入 症例経過写真

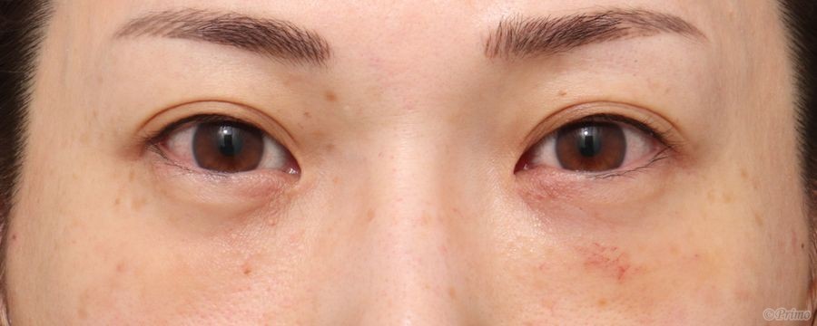
Before

手術前の目元です。

目の下のクマが気になり改善したいというご希望から、

当院で下眼瞼脱脂術+下眼瞼脂肪注入を行いました。

 

After

下眼瞼脱脂術+下眼瞼脂肪注入手術後6ヶ月です。

余分な脂肪を取り除き脂肪注入で補うことで、目の下の膨らみがなくなり若々しくなりました。

手術前

手術前の目元です。

 

手術後1週間

下眼瞼脱脂術+下眼瞼脂肪注入後1週間です。

腫れやむくみは経過とともに引いていきます。

 

手術後2週間

下眼瞼脱脂術+下眼瞼脂肪注入後2週間です。

 

手術後3ヶ月

下眼瞼脱脂術+下眼瞼脂肪注入後3ヶ月です。

 

手術後6ヶ月

下眼瞼脱脂術+下眼瞼脂肪注入後6ヶ月です。

目の下の膨らみがすっきりして若々しく自然な仕上がりになりました。

 

・費用(税込、麻酔代別)

 

下眼瞼脱脂術    ¥330,000

下眼瞼脂肪注入   ¥440,000

 

・リスク・副作用(起こり得る可能性のあること)

 

腫れ、内出血

瞼の違和感

結膜の傷跡

瞼の形態の変化

複視

創の赤み、盛り上がり、かゆみ

皮膚の張りの低下

凹凸、左右差

 

© 2018 Primo All rights reserved.

メールで相談 カウンセリング予約 公式LINE オンライン診療 オンラインショップ 0120-062-069