X 二重修正術(重瞼修正切開術) 症例経過写真 | プリモ麻布十番クリニック 2503

症例写真

X 二重修正術(重瞼修正切開術) 症例経過写真

Before

手術前の目元です。

切開法による二重形成を受けていらっしゃいましたが、

二重幅をせまくしたいとのご希望でした。

当院にて二重修正を行いました。

 

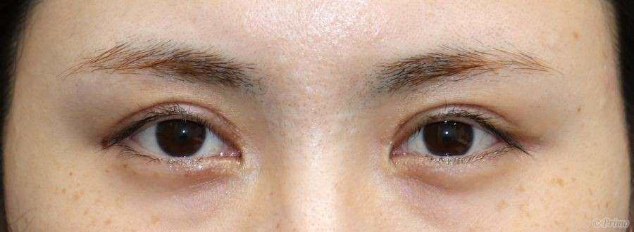
After

二重修正術後6ヶ月です。

二重幅は狭くなりました。

今後さらに狭く自然な二重幅になっていきます。

 

手術前

手術前の目元です。

 

手術前

手術前の目を閉じたところです。

 

手術後1週間

二重修正術後1週間です。

 

手術後1週間

手術後1週間の目を閉じたところです。

 

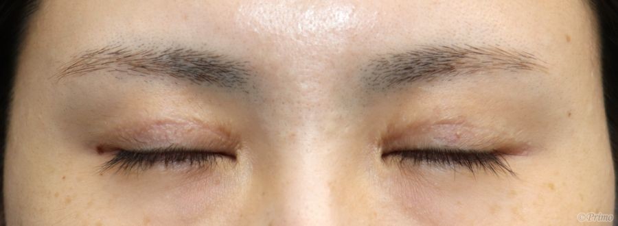
手術後2週間

二重修正術後2週間です。

 

手術後2週間

手術後2週間の目を閉じたところです。

 

手術後1ヶ月

二重修正術後1ヶ月です。

まだ浮腫みがあり完成ではありません。

 

手術後1ヶ月

手術後1ヶ月の目を閉じたところです。

 

手術後2ヶ月

二重修正術後2ヶ月です。

二重幅が狭くなりました。

今後さらに狭く自然な二重幅になっていきます。

 

手術後2ヶ月

手術後2ヶ月の目を閉じたところです。

 

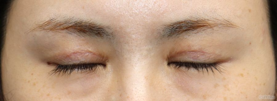
手術後4ヶ月

二重修正術後4ヶ月です。

 

手術後4ヶ月

手術後4ヶ月の目を閉じたところです。

 

手術後6ヶ月

二重修正術後6ヶ月です。

 

手術後6ヶ月

手術後6ヶ月の目を閉じたところです。

 

・費用(税込、麻酔代別)

 

二重修正術              ¥440,000

(組織の移動や移植を伴う複雑なもの) ¥550,000

 

・リスク・副作用(起こり得る可能性のあること)

 

腫れ、内出血

瞼の違和感

二重の傷跡

睫毛側皮膚の知覚低下

ラインの消失

瞼の形態の変化

 

© 2018 Primo All rights reserved.

メールで相談 カウンセリング予約 公式LINE オンライン診療 オンラインショップ 0120-062-069