CA 二重修正術(重瞼修正切開術) 症例経過写真 | プリモ麻布十番クリニック 2503

症例写真

CA 二重修正術(重瞼修正切開術) 症例経過写真

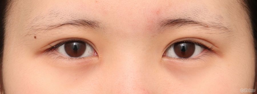
Before

手術前の目元です。

他院で1年前に埋没法、半年前に全切開を受けていらっしゃいました。

ハム目が気になり、二重の幅を狭くしたいということで、

当院にて二重修正術を行いました。

 

After

二重修正術後6ヶ月です。

自然な幅のしっかりとした二重になりました。

 

手術前

手術前の目元です。

 

手術前

手術前の目を閉じたところです。

 

手術後1週間

二重修正術後1週間です。

腫れが目立つ時期です。経過とともに落ち着き自然に幅が狭くなります。

 

手術後1週間

手術後1週間の目を閉じたところです。

 

手術後2週間

二重修正術後2週間です。

 

手術後2週間

手術後2週間の目を閉じたところです。

 

手術後3ヶ月

二重修正術後3ヶ月です。

腫れが落ち着いてきました。

 

手術後3ヶ月

手術後3ヶ月の目を閉じたところです。

 

手術後6ヶ月

二重修正術後6ヶ月です。

二重の幅が狭くなり、自然な二重になりました。

 

手術後6ヶ月

手術後6ヶ月の目を閉じたところです。

 

・費用(税込、麻酔代別)

 

二重修正術              ¥440,000

(組織の移動や移植を伴う複雑なもの) ¥550,000

 

・リスク・副作用(起こり得る可能性のあること)

 

腫れ、内出血

瞼の違和感

二重の傷跡

睫毛側皮膚の知覚低下

ラインの消失

瞼の形態の変化

 

© 2018 Primo All rights reserved.

メールで相談 カウンセリング予約 公式LINE オンライン診療 オンラインショップ 0120-062-069