CE 二重修正術(重瞼修正切開術) 症例経過写真 | プリモ麻布十番クリニック 2503

症例写真

CE 二重修正術(重瞼修正切開術) 症例経過写真

Before

手術前の目元です。

他院で3~4年前に全切開、眼瞼下垂手術、目尻切開を受けていらっしゃいました。

広めのくっきりとした二重にしたいというご要望から、当院にて二重修正術を行いました。

 

After

二重修正術後6ヶ月です。

はっきりとしたラインができて幅も広くなりました。

 

手術前

手術前の目元です。

 

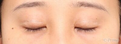
手術前

手術前の目を閉じたところです。

 

手術後1週間

二重修正術後1週間です。

腫れが目立つ時期で、経過とともに落ち着き幅が狭くなります。

 

手術後1週間

手術後1週間の目を閉じたところです。

 

手術後2週間

二重修正術後2週間です。

 

手術後2週間

手術後2週間の目を閉じたところです。

 

手術後3ヶ月

二重修正術後3ヶ月です。

腫れが落ち着いて自然な広めの二重になりました。

 

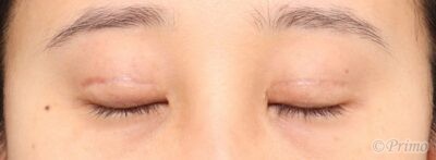
手術後3ヶ月

手術後3ヶ月の目を閉じたところです。

 

手術後6ヶ月

二重修正術後6ヶ月です。

 

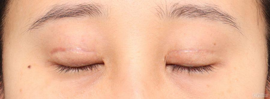
手術後6ヶ月

手術後6ヶ月の目を閉じたところです。

 

・費用(税込、麻酔代別)

 

二重修正術              ¥440,000

(組織の移動や移植を伴う複雑なもの) ¥550,000

 

・リスク・副作用(起こり得る可能性のあること)

 

腫れ、内出血

瞼の違和感

二重の傷跡

睫毛側皮膚の知覚低下

ラインの消失

瞼の形態の変化

 

© 2018 Primo All rights reserved.

メールで相談 カウンセリング予約 公式LINE オンライン診療 オンラインショップ 0120-062-069