C 蒙古襞形成術(目頭切開修正) 症例経過写真 | プリモ麻布十番クリニック 2503

症例写真

C 蒙古襞形成術(目頭切開修正) 症例経過写真

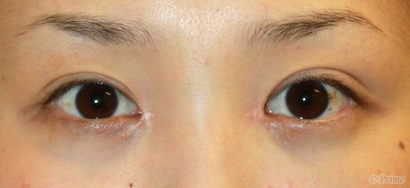
Before

手術前の目元です。

他院で目頭切開を2度行っていましたが切り過ぎてしまい、

マイルドに蒙古襞を再建したいということで修正を行いました。

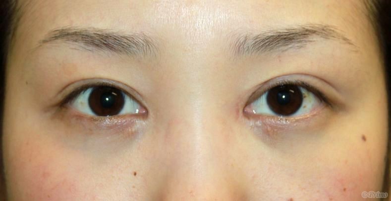
6ヶ月後、もう少し戻して末広型の二重にしたいということで、

2回目の蒙古襞形成術を行いました。

 

After

蒙古襞形成術2回目手術後6ヶ月です。

蒙古襞がしっかりと形成され、自然な末広型の二重になりました。

 

手術前

手術前の目元です。

手術後3ヶ月

蒙古襞形成術手術後3ヶ月です。

 

手術後6ヶ月

蒙古襞形成術手術後6ヶ月です。

 

手術後9ヶ月(2回目手術後3ヶ月)

蒙古襞形成術手術後9ヶ月(2回目手術後3ヶ月)です。

 

手術後1年(2回目手術後6ヶ月)

蒙古襞形成術手術後1年(2回目手術後6ヶ月)です。

 

・費用(税込、麻酔代別)

 

蒙古襞形成術             ¥385,000

 

・リスク・副作用(起こり得る可能性のあること)

 

腫れ、内出血

瞼の違和感

目頭の傷跡

瞼の形態の変化、二重の形の変化

ドッグイヤー

 

© 2018 Primo All rights reserved.

メールで相談 カウンセリング予約 公式LINE オンライン診療 オンラインショップ 0120-062-069