U 蒙古襞形成術(目頭切開修正) 症例経過写真 | プリモ麻布十番クリニック 2503

症例写真

U 蒙古襞形成術(目頭切開修正) 症例経過写真

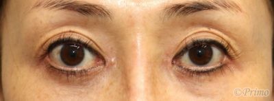
Before

手術前の目元です。

以前他院で目頭切開、二重埋没法、目尻切開、下眼瞼脱脂術を行った方です。

目頭を切りすぎてしまい、少しだけ戻したいとのご要望で、

当院にて蒙古襞形成術(目頭切開修正)を行いました。

 

After

蒙古襞形成術手術後6ヶ月です。

目頭の尖った印象が少しやわらぎ自然な形態になりました。

 

手術前

手術前の目元です。

 

手術後1週間

蒙古襞形成術手術後1週間です。

 

手術後2週間

蒙古襞形成術手術後2週間です。

 

手術後1ヶ月

蒙古襞形成術手術後1ヶ月です。

 

手術後2ヶ月

蒙古襞形成術手術後2ヶ月です。

 

手術後3ヶ月

蒙古襞形成術手術後3ヶ月です。

 

手術後6ヶ月

蒙古襞形成術手術後6ヶ月です。

目頭の尖った印象が少しやわらぎ自然な形態になりました。

 

・費用(税込、麻酔代別)

 

蒙古襞形成術 ¥385,000

 

・リスク・副作用(起こり得る可能性のあること)

 

腫れ、内出血

瞼の違和感

目頭の傷跡

瞼の形態の変化、二重の形の変化

ドッグイヤー

 

© 2018 Primo All rights reserved.

メールで相談 カウンセリング予約 公式LINE オンライン診療 オンラインショップ 0120-062-069