症例写真
BI 蒙古襞形成術+二重修正術 症例経過写真
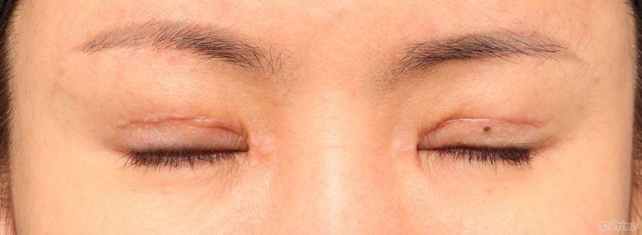
Before
手術前の目元です。
5年前に他院で二重切開、目頭切開、たれ目形成を受けていらっしゃいました。
二重が広すぎるのを修正したい、目頭をもとに戻したいというご希望から、
当院で蒙古襞形成術(目頭切開修正)+二重修正術を行いました。
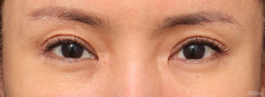
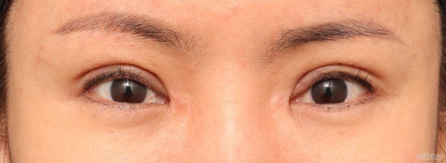
症例写真
手術前の目元です。
5年前に他院で二重切開、目頭切開、たれ目形成を受けていらっしゃいました。
二重が広すぎるのを修正したい、目頭をもとに戻したいというご希望から、
当院で蒙古襞形成術(目頭切開修正)+二重修正術を行いました。
MEDICAL
CONTENTS
BLOG
MOVIE
GUIDE
RECRUIT





