
術後2ヶ月。1ヶ月目とあまり変化はありませんね。

術後1ヶ月。

術後2週間。

手術直後。
手術直後はさすがに少し腫れています。
やや過矯正になっていますが、
ほんの少しの落ち着きを見込んでそうしています。

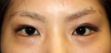
術前です。
たれ目になった変化がよくわかりますね。
目尻切開と併せて行うとさらに大きく拡大しやすいようです。
プリモ麻布十番クリニック
看護師募集中です!
モニター患者さま募集中です!

術後2ヶ月。1ヶ月目とあまり変化はありませんね。

術後1ヶ月。

術後2週間。

手術直後。
手術直後はさすがに少し腫れています。
やや過矯正になっていますが、
ほんの少しの落ち着きを見込んでそうしています。

術前です。
たれ目になった変化がよくわかりますね。
目尻切開と併せて行うとさらに大きく拡大しやすいようです。
プリモ麻布十番クリニック
看護師募集中です!
モニター患者さま募集中です!
MEDICAL
CONTENTS
BLOG
MOVIE
GUIDE
RECRUIT





