
手術前の目元です。
二重を少し広くして、腫れぼったさを改善したい
下方向に目を大きくしたいとのご希望に対して
全切開+上眼瞼脱脂、ROOF切除、下眼瞼拡大術を施行しました。

全切開+上眼瞼脱脂、ROOF切除、下眼瞼拡大術 手術後6か月の経過写真です。
make upなしです。
術後6か月経過し、はっきりした二重が形成され、下方向に目が大きくなりました。

手術後6か月の目を閉じたところです。

手術前の目元です。
二重を少し広くして、腫れぼったさを改善したい
下方向に目を大きくしたいとのご希望に対して
全切開+上眼瞼脱脂、ROOF切除、下眼瞼拡大術を施行しました。

全切開+上眼瞼脱脂、ROOF切除、下眼瞼拡大術 手術後6か月の経過写真です。
make upなしです。
術後6か月経過し、はっきりした二重が形成され、下方向に目が大きくなりました。

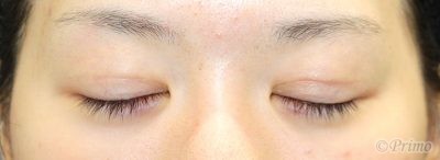
手術後6か月の目を閉じたところです。
MEDICAL
CONTENTS
BLOG
MOVIE
GUIDE
RECRUIT





