
手術前の目元です。
目を大きくぱっちりさせたいとのご希望に対して
眼瞼下垂手術、下眼瞼拡大術、目尻切開、下眼瞼逆さまつ毛手術を行いました。

手術前の斜めからです。

手術前の横からです。

眼瞼下垂症手術、下眼瞼拡大術、目尻切開、下眼瞼逆さまつ毛手術
術後2週間の経過写真です。
make upなしです。
まだ腫れがありますが
眼瞼下垂手術により目が上下方向に、下眼瞼拡大術と目尻切開の効果で
外側方向、下方向へと大きくなりました。

手術後2週間の斜めからです。
上下方向に黒目が大きくなり、外側方向には白目が大きくなりました。

手術後2週間の横からです。

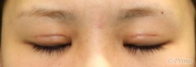
手術後2週間の目を閉じたところです。




















