
Z形成術による目頭切開術後2カ月の経過写真です。

手術前です。

手術後1カ月です。
傷跡はほとんどわからないくらい落ち着いてきました。
目と目の間も狭くなり、
目の横幅が広くなりました。
プリモ麻布十番クリニック
モニター患者さま募集中です!

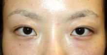
Z形成術による目頭切開術後2カ月の経過写真です。

手術前です。

手術後1カ月です。
傷跡はほとんどわからないくらい落ち着いてきました。
目と目の間も狭くなり、
目の横幅が広くなりました。
プリモ麻布十番クリニック
モニター患者さま募集中です!
MEDICAL
CONTENTS
BLOG
MOVIE
GUIDE
RECRUIT





