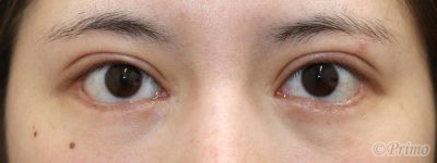
手術前の目元です。
術前は他院でヒアルロン酸注入を行っていました。
二重の幅を広くしたい、たれ目にしたい、
まぶたの脂肪を取りたいというご希望と、瞼の開きを改善する目的で、
当院で眼瞼下垂+ROOF切除術+目頭切開+目尻切開+下眼瞼拡大術+下眼瞼脱脂術+下眼瞼逆さまつ毛手術を行いました。

全切開+上眼瞼脱脂術+ROOF切除術+目頭切開+目尻切開+下眼瞼拡大術+下眼瞼逆さまつ毛手術後6ヶ月の経過写真です。
make upなしです。
術後は目の開きが改善し、幅広の二重がしっかりと形成されました。
ルーフ切除術によって上まぶたがすっきりしました。
下眼瞼脱脂術の効果で目の下のくまも改善しています。
また、目頭切開の効果で目と目の距離が近くなり、
目尻切開と下眼瞼拡大術のコンビネーションによって、
目が外側下方向に大きくなりました。

























