
術前です
目をパッチリさせたい、また目の下の膨らみも気になっているとのことで
眼瞼下垂手術+下眼瞼脱脂(結膜側)を行いました

術後2週間 開瞼時です
まだ少しむくみがありますが、とてもパッチリとしたお目元ですね

術後2週間 閉瞼時です
内出血はほとんどわからなくなりました
傷もとてもきれいです

術前です
目をパッチリさせたい、また目の下の膨らみも気になっているとのことで
眼瞼下垂手術+下眼瞼脱脂(結膜側)を行いました

術後2週間 開瞼時です
まだ少しむくみがありますが、とてもパッチリとしたお目元ですね

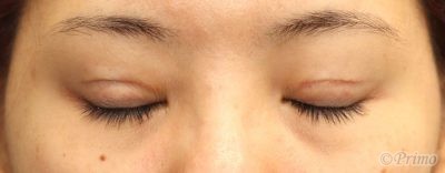
術後2週間 閉瞼時です
内出血はほとんどわからなくなりました
傷もとてもきれいです
MEDICAL
CONTENTS
BLOG
MOVIE
GUIDE
RECRUIT





