
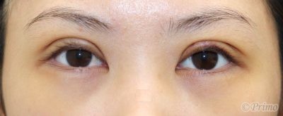
術前です
お目元をパッチリさせたい、また目の下のクマも気になっているとのことで
眼瞼下垂手術+下眼瞼脱脂(結膜側)を行いました

術後1週間 開瞼時です
まだ少しむくみがありますが、とてもパッチリしました
クマも目立たなくなりましたね

術後1週間 閉瞼時です
内出血が少し見られますが、必ず消えていきます
経過の参考にされてください

術前です
お目元をパッチリさせたい、また目の下のクマも気になっているとのことで
眼瞼下垂手術+下眼瞼脱脂(結膜側)を行いました

術後1週間 開瞼時です
まだ少しむくみがありますが、とてもパッチリしました
クマも目立たなくなりましたね

術後1週間 閉瞼時です
内出血が少し見られますが、必ず消えていきます
経過の参考にされてください
MEDICAL
CONTENTS
BLOG
MOVIE
GUIDE
RECRUIT





