
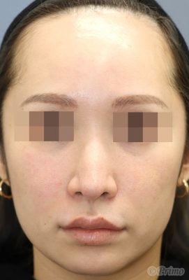
術前 正面からです
頬をふっくらさせ、若々しくされたいとのことで
コンデンスリッチ脂肪注入術(頬部)を行いました

術後2週間 正面からです
頬部が自然にふっくらして、若々しく見えますね
内出血はわからなくなりました

術前 ななめからです

術後2週間 ななめからです

術前 横からです

術後2週間 横からです

術前 正面からです
頬をふっくらさせ、若々しくされたいとのことで
コンデンスリッチ脂肪注入術(頬部)を行いました

術後2週間 正面からです
頬部が自然にふっくらして、若々しく見えますね
内出血はわからなくなりました

術前 ななめからです

術後2週間 ななめからです

術前 横からです

術後2週間 横からです
MEDICAL
CONTENTS
BLOG
MOVIE
GUIDE
RECRUIT





