
術前です。
以前他院で埋没法を行うも、二重が浅くなってきてしまった方です。
はっきりとした平行で幅広の二重を希望され、
当院で全切開+上眼瞼脱脂術を行いました。

術後6か月の開瞼時の経過写真です。
make upなしです。
幅広の平行型二重がしっかりと形成されました。
(同時に隆鼻術+眉間プロテーゼも行っております)

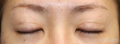
術後6か月の閉瞼時です。
経過のご参考になさってください。

術前です。
以前他院で埋没法を行うも、二重が浅くなってきてしまった方です。
はっきりとした平行で幅広の二重を希望され、
当院で全切開+上眼瞼脱脂術を行いました。

術後6か月の開瞼時の経過写真です。
make upなしです。
幅広の平行型二重がしっかりと形成されました。
(同時に隆鼻術+眉間プロテーゼも行っております)

術後6か月の閉瞼時です。
経過のご参考になさってください。
MEDICAL
CONTENTS
BLOG
MOVIE
GUIDE
RECRUIT





