
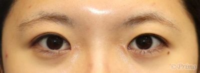
手術前の目元です。
他院で目頭切開を受けていらっしゃいましたが、元に少し戻して丸みを出したいと希望され
蒙古襞形成術を行いました。

蒙古襞形成(目頭切開修正)手術後2か月の経過写真です。
make upなしです。
傷あとの反応がでていますが今後軽快していきます。
自然に蒙古襞が形成されご希望の形態になりました。

手術前の目元です。
他院で目頭切開を受けていらっしゃいましたが、元に少し戻して丸みを出したいと希望され
蒙古襞形成術を行いました。

蒙古襞形成(目頭切開修正)手術後2か月の経過写真です。
make upなしです。
傷あとの反応がでていますが今後軽快していきます。
自然に蒙古襞が形成されご希望の形態になりました。
MEDICAL
CONTENTS
BLOG
MOVIE
GUIDE
RECRUIT





