
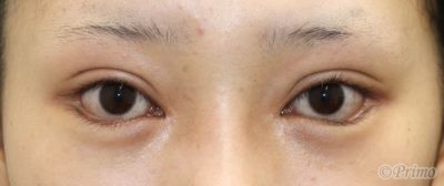
術前の正面からです
目を全方向に大きくさせたいとのことで
眼瞼下垂手術+ROOF切除+目頭切開+下眼瞼拡大術(たれ目形成)+目尻切開+逆さ睫毛手術+下眼瞼脱脂(結膜側)を行いました
術後2.5か月でさらにたれ目を強めたいとのことで、下眼瞼拡大術を追加で行いました

術後6か月(修正後3か月)の正面からノーメイクです
上方、内側、外側下方へと、目が全方向にとても大きくなりました

術前のななめからです

術後6か月(修正後3か月)のななめからです

術前の横からです

術後6か月(修正後3か月)の横からです




















