
手術前の目元です。
切開法による二重形成を受けていらっしゃいましたが
特に内側で皮膚がまつ毛にのりぱっちりしないので
すっきりさせたいとのご希望でした。
当院にて二重修正を行いました。

二重修正術術後2か月の経過写真です。
make upなしです。
たるみが少なくなりまつ毛の上がすっきりしました
平行型の二重が形成されています。

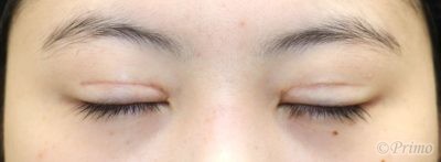
術前の目を閉じたところです

手術後2か月の目を閉じたところです。

手術前の目元です。
切開法による二重形成を受けていらっしゃいましたが
特に内側で皮膚がまつ毛にのりぱっちりしないので
すっきりさせたいとのご希望でした。
当院にて二重修正を行いました。

二重修正術術後2か月の経過写真です。
make upなしです。
たるみが少なくなりまつ毛の上がすっきりしました
平行型の二重が形成されています。

術前の目を閉じたところです

手術後2か月の目を閉じたところです。
MEDICAL
CONTENTS
BLOG
MOVIE
GUIDE
RECRUIT





