
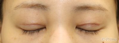
手術前の目元です。
15年前に他院で重瞼術(埋没法)を受けておられますが、二重は薄くなっています。
全切開での二重手術を希望して来院されましたが、目の開きの良くない状態で二重を作ると、眠たい印象の目になってしまう可能性があるため、眼瞼下垂手術をお勧めいたしました。
しっかりとした二重で、さらにパッチリとした目にするために、眼瞼下垂手術を行いました。


眼瞼下垂手術(術後1週間)の経過写真です。
make upなしです。
術後は目の開きがよくなり、はっきりとした二重が形成されています。
華やかな印象の目もとになりました。
まだ術後1週のダウンタイム中ですが、腫れは少なく経過は良好です。
今後も徐々に腫れは治まり、すっきりとしていきます。




















