
手術前の正面です。
他院で埋没法を受けておられますが、瞼のたるみを取り、より広い二重ラインを希望し受診されました。
当院で二重全切開術+ROOF切除術を行いました。
また目を外側に広げたいというご希望で下眼瞼拡大術+目尻切開を同時に行いました。

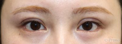
二重全切開術+ROOF切除術、下眼瞼拡大術+目尻切開の術後6ヶ月の正面写真です。
幅の広いはっきりとした二重が形成されています。
目が大きく華やかな印象になりました。
下眼瞼の外側から、なだらかな曲線を描くようにきれいに拡大されています。
目は外側、下方向に大きくなっています。

手術前の斜めからです。

術後6ヶ月の斜めからです。
外側までしっかりと二重のラインができています。
下眼瞼が下がり、目が大きくなりました。

手術前の横からです。

手術後6ヶ月の横からです。




















