
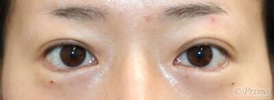
手術前の正面からです。
目を大きくしたいとのご希望で、
下眼瞼拡大術+目尻切開+逆さまつ毛手術を行いました。

手術後6か月の正面からです。
make upなしです。
外側下方向に目が大きくなり、タレ目の可愛いらしい印象になりました。

手術前のななめからです。

手術後6か月のななめからです。

手術前の横からです。

手術後6か月の横からです。

手術前の正面からです。
目を大きくしたいとのご希望で、
下眼瞼拡大術+目尻切開+逆さまつ毛手術を行いました。

手術後6か月の正面からです。
make upなしです。
外側下方向に目が大きくなり、タレ目の可愛いらしい印象になりました。

手術前のななめからです。

手術後6か月のななめからです。

手術前の横からです。

手術後6か月の横からです。
MEDICAL
CONTENTS
BLOG
MOVIE
GUIDE
RECRUIT





