BI 全切開+上眼瞼脱脂術+ROOF切除術+下眼瞼拡大術 症例経過写真 | プリモ麻布十番クリニック 2503

症例写真

BI 全切開+上眼瞼脱脂術+ROOF切除術+下眼瞼拡大術 症例経過写真

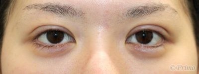
Before


手術前の目元です。
二重を少し広くして、腫れぼったさを改善したい下方向に目を大きくしたいとのご希望から、
当院で全切開+上眼瞼脱脂術+ROOF切除術+下眼瞼拡大術を行いました。

After


全切開+上眼瞼脱脂術+ROOF切除術+下眼瞼拡大術後6ヶ月です。
まぶたの腫れぼったさが解消され、はっきりした二重が形成されました。
下眼瞼拡大術によって下方向に目が大きくなりました。

手術前


手術前の目元です。

手術後1週間


全切開+上眼瞼脱脂術+ROOF切除術+下眼瞼拡大術後1週間です。

手術後1週間


手術後1週間の目を閉じたところです。

手術後2週間


全切開+上眼瞼脱脂術+ROOF切除術+下眼瞼拡大術後2週間です。

手術後2週間


手術後2週間の目を閉じたところです。

手術後1ヶ月


全切開+上眼瞼脱脂術+ROOF切除術+下眼瞼拡大術後1ヶ月です。

手術後1ヶ月


手術後1ヶ月の目を閉じたところです。

手術後2ヶ月


全切開+上眼瞼脱脂術+ROOF切除術+下眼瞼拡大術後2ヶ月です。

手術後2ヶ月


手術後2ヶ月の目を閉じたところです。

手術後3ヶ月


全切開+上眼瞼脱脂術+ROOF切除術+下眼瞼拡大術後3ヶ月です。

手術後3ヶ月


手術後3ヶ月の目を閉じたところです。

手術後6ヶ月


全切開+上眼瞼脱脂術+ROOF切除術+下眼瞼拡大術後6ヶ月です。

手術後6ヶ月


手術後6ヶ月の目を閉じたところです。

・費用(税込、麻酔代別)

 

全切開+上眼瞼脱脂術    ¥385,000

ROOF切除術(セット割引) ¥110,000

下眼瞼拡大術        ¥440,000

 

・リスク・副作用(起こり得る可能性のあること)

 

腫れ、内出血、瞼の違和感、傷跡

睫毛側皮膚の知覚低下

ラインの消失

瞼の形態の変化

三白眼逆さまつ毛、複視

 

© 2018 Primo All rights reserved.

メールで相談 カウンセリング予約 公式LINE オンライン診療 オンラインショップ 0120-062-069