症例写真
HJ 眼瞼下垂手術+目頭切開+下眼瞼拡大術+下眼瞼逆さまつ毛手術 症例経過写真
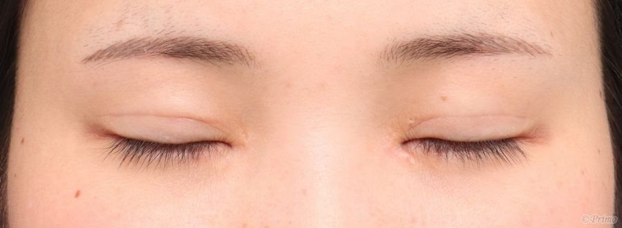
Before
手術前の目元です。
他院で埋没法、全切開を受けていらっしゃいました。
まぶたの開きが悪く改善したいのと、たれ目にして目を大きくしたいというご希望から、
当院で眼瞼下垂手術+目頭切開+下眼瞼拡大術+下眼瞼逆さまつ毛手術を行いました。
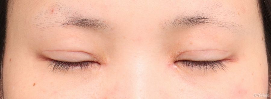
症例写真
手術前の目元です。
他院で埋没法、全切開を受けていらっしゃいました。
まぶたの開きが悪く改善したいのと、たれ目にして目を大きくしたいというご希望から、
当院で眼瞼下垂手術+目頭切開+下眼瞼拡大術+下眼瞼逆さまつ毛手術を行いました。
MEDICAL
CONTENTS
BLOG
MOVIE
GUIDE
RECRUIT





