全切開+上眼瞼脱脂術 症例経過写真 | プリモ麻布十番クリニック 2503

症例写真

BN 全切開+上眼瞼脱脂術 症例経過写真

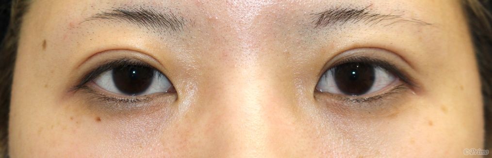
Before


手術前の目元です。
1~2年前に他院で埋没法2点固定手術を受けていらっしゃいました。
平行型の二重をご希望とのことで、当院で全切開+上眼瞼脱脂術を行いました。

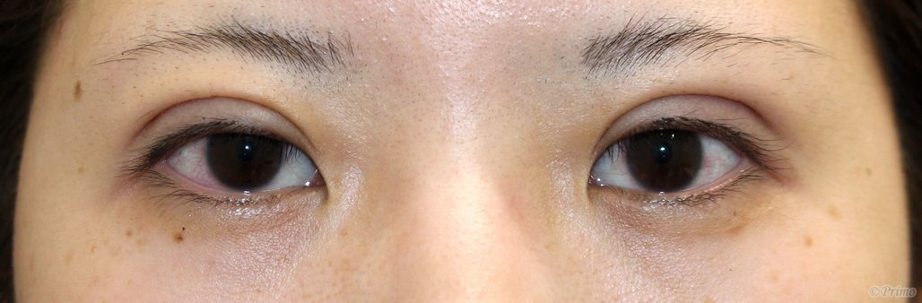
After


全切開+上眼瞼脱脂術後6ヶ月です。
自然な平行型二重が形成されました。

手術前


手術前の目元です。

手術後1週間


全切開+上眼瞼脱脂術後1週間です。

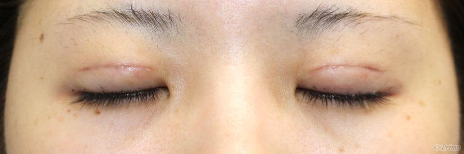
手術後1週間


手術後1週間の目を閉じたところです。

手術後2週間


全切開+上眼瞼脱脂術後2週間です。

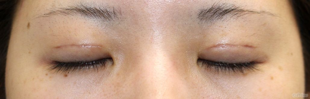
手術後2週間


手術後2週間の目を閉じたところです。

手術後1ヶ月


全切開+上眼瞼脱脂術後1ヶ月です。

手術後1ヶ月


手術後1ヶ月の目を閉じたところです。

手術後2ヶ月


全切開+上眼瞼脱脂術後2ヶ月です。

手術後2ヶ月


手術後2ヶ月の目を閉じたところです。

手術後3ヶ月


全切開+上眼瞼脱脂術後3ヶ月です。

手術後3ヶ月


手術後3ヶ月の目を閉じたところです。

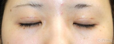
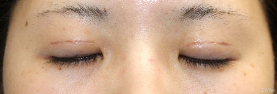
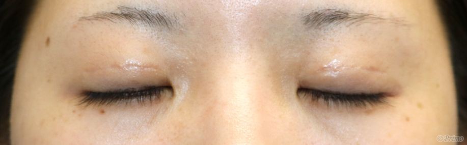
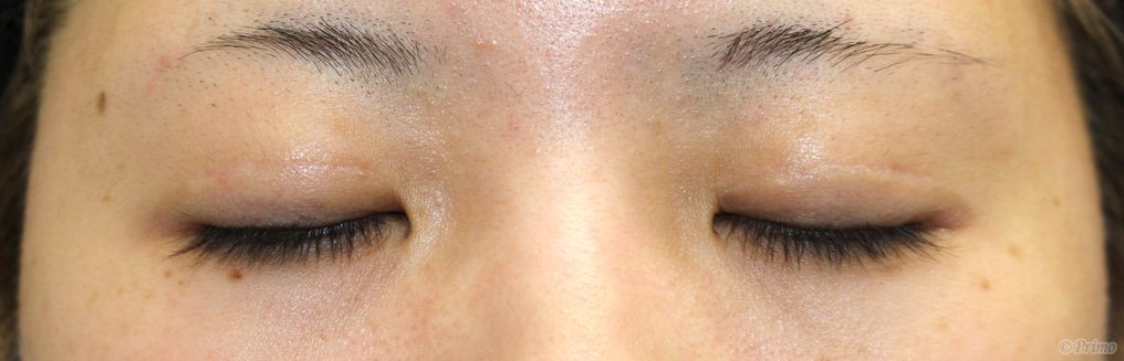
手術後6ヶ月


全切開+上眼瞼脱脂術後6ヶ月です。

手術後6ヶ月


手術後6ヶ月の目を閉じたところです。

・費用(税込、麻酔代別)

 

全切開+上眼瞼脱脂術 ¥385,000

 

・リスク・副作用(起こり得る可能性のあること)

 

腫れ、内出血、瞼の違和感、傷跡

睫毛側皮膚の知覚低下

ラインの消失

瞼の形態の変化

脂肪の摘出困難

上眼瞼の陥凹

 

© 2018 Primo All rights reserved.

メールで相談 カウンセリング予約 公式LINE オンライン診療 オンラインショップ 0120-062-069