BZ 全切開+上眼瞼脱脂術 症例経過写真 | プリモ麻布十番クリニック 2503

症例写真

BZ 全切開+上眼瞼脱脂術 症例経過写真

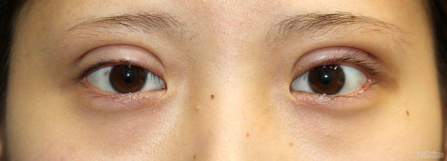
Before

 

手術前の目元です。

幅広の平行型二重にしたいというご要望から、

当院で全切開+上眼瞼脱脂術を行いました。

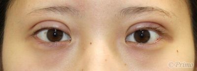
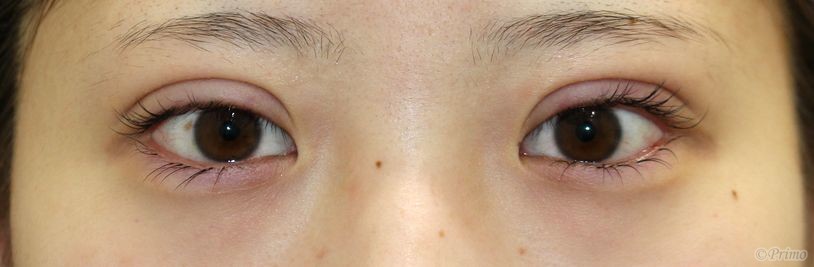
After

 

全切開+上眼瞼脱脂術後6ヶ月です。

幅広の平行型二重がはっきりと形成されました。

目元がすっきりしてぱっちりとした印象の目になりました。

手術前

 

手術前の目元です。

手術後1週間

 

全切開+上眼瞼脱脂術後1週間です。

手術後1週間

 

手術後1週間の目を閉じたところです。

手術後2週間

 

全切開+上眼瞼脱脂術後2週間です。

手術後2週間

 

手術後2週間の目を閉じたところです。

手術後2ヶ月

 

全切開+上眼瞼脱脂術後2ヶ月です。

手術後2ヶ月

 

手術後2ヶ月の目を閉じたところです。

手術後3ヶ月

 

全切開+上眼瞼脱脂術後3ヶ月です。

手術後3ヶ月

 

手術後3ヶ月の目を閉じたところです。

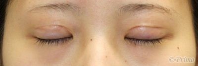
手術後6ヶ月

 

全切開+上眼瞼脱脂術後6ヶ月です。

手術後6ヶ月

 

手術後6ヶ月の目を閉じたところです。

・費用(税込、麻酔代別)

 

全切開+上眼瞼脱脂術 ¥385,000

 

・リスク・副作用(起こり得る可能性のあること)

 

腫れ、内出血、瞼の違和感、傷跡

睫毛側皮膚の知覚低下

ラインの消失

瞼の形態の変化

脂肪の摘出困難

上眼瞼の陥凹

 

© 2018 Primo All rights reserved.

メールで相談 カウンセリング予約 公式LINE オンライン診療 オンラインショップ 0120-062-069