症例写真
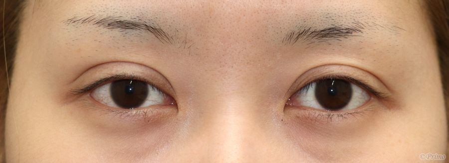
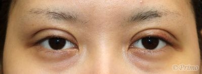
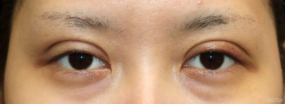
手術前の目元です。
平行型の二重を希望され、
当院にて全切開+上眼瞼脱脂術を行いました。
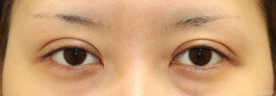
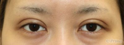
全切開+上眼瞼脱脂術後6ヶ月です。
きれいな平行型の二重がしっかりと形成されました。
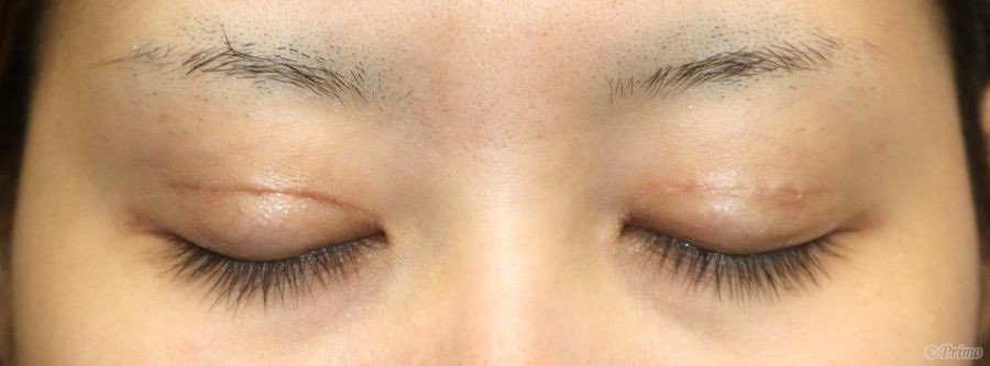
全切開+上眼瞼脱脂術後1週間です。
手術後1週間の目を閉じたところです。
全切開+上眼瞼脱脂術後2週間です。
手術後2週間の目を閉じたところです。
全切開+上眼瞼脱脂術後1ヶ月です。
手術後1ヶ月の目を閉じたところです。
全切開+上眼瞼脱脂術後2ヶ月です。
手術後2ヶ月の目を閉じたところです。
全切開+上眼瞼脱脂術後3ヶ月です。
手術後3ヶ月の目を閉じたところです。
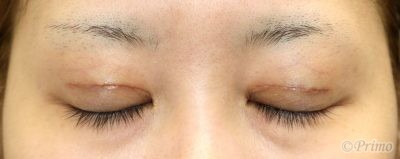
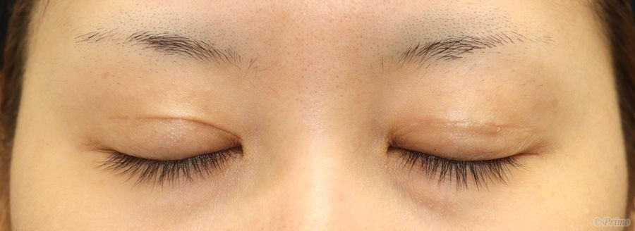
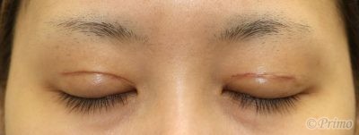
手術後6ヶ月の目を閉じたところです。
・費用(税込、麻酔代別)
全切開+上眼瞼脱脂術 ¥385,000
・リスク・副作用(起こり得る可能性のあること)
腫れ、内出血、瞼の違和感、傷跡
睫毛側皮膚の知覚低下
ラインの消失
瞼の形態の変化
脂肪の摘出困難
上眼瞼の陥凹
目整形
全切開
上眼瞼脱脂術
© 2018 Primo All rights reserved.