R 目頭切開 症例経過写真 | プリモ麻布十番クリニック 2503

症例写真

R 目頭切開 症例経過写真

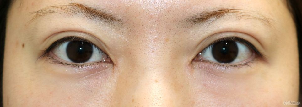
Before


手術前の目元です。
術前は8年前に他院で埋没法を受けていらっしゃいました。
やや張っている蒙古襞を解消したいということで、
当院で目頭切開手術を行いました。

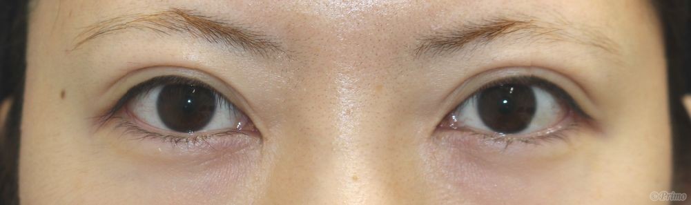
After

目頭切開手術後6ヶ月です。

蒙古襞がやや小さくなり、目と目の距離が狭くなりました。

Z形成術による目頭切開で、傷跡は目立ちません。

手術前


手術前の目元です。

手術後1週間


目頭切開手術後1週間です。

手術後2週間


目頭切開手術後2週間です。

手術後1ヶ月


目頭切開手術後1ヶ月です。

手術後2ヶ月


目頭切開手術後2ヶ月です。

手術後3ヶ月


目頭切開手術後3ヶ月です。

手術後6ヶ月


目頭切開手術後6ヶ月です。

・費用(税込、麻酔代別)

 

目頭切開術 ¥275,000

 

・リスク・副作用(起こり得る可能性のあること)

 

腫れ、内出血

瞼の違和感

傷跡

埋没した吸収糸の露出

瞼の形態の変化

 

© 2018 Primo All rights reserved.

メールで相談 カウンセリング予約 公式LINE オンライン診療 オンラインショップ 0120-062-069