P 下眼瞼脱脂術 症例経過写真 | プリモ麻布十番クリニック 2503

症例写真

P 下眼瞼脱脂術 症例経過写真

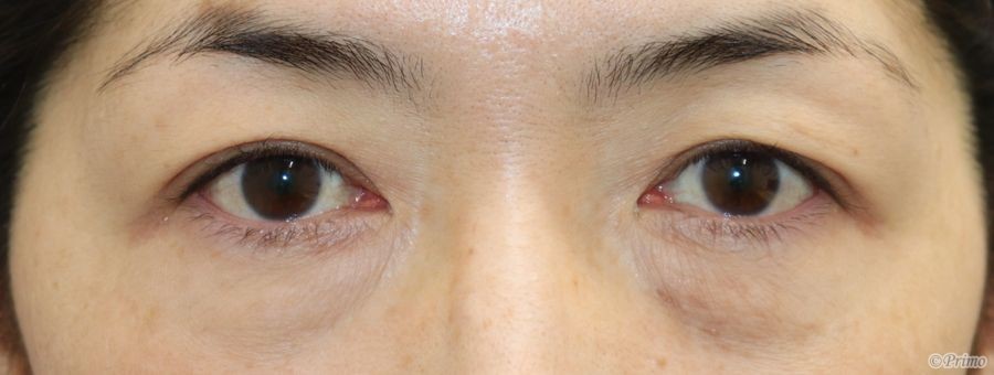
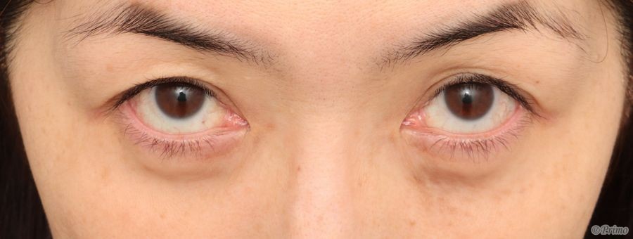
Before

手術前の目元です。

目の下のふくらみがくまっぽく見えるとのことで、

下眼瞼脱脂術を行いました。

 

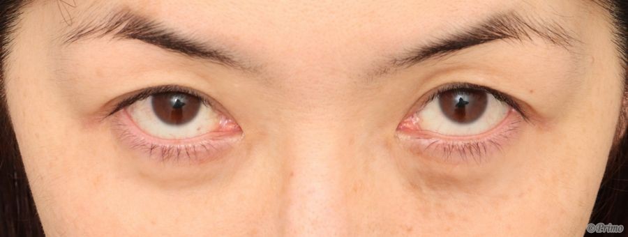
After

下眼瞼脱脂術後6ヶ月です。

目の下の膨らみが改善され、もともとある涙袋が出現しました。

 

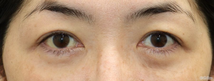
手術前

手術前の目元です。

 

手術前

手術前の上方視です。

 

手術後1週間

下眼瞼脱脂術後1週間です。

 

手術後1週間

下眼瞼脱脂術後1週間の上方視です。

 

手術後2週間

下眼瞼脱脂術後2週間です。

 

手術後2週間

下眼瞼脱脂術後2週間の上方視です。

 

手術後1ヶ月

下眼瞼脱脂術後1ヶ月です。

 

手術後1ヶ月

下眼瞼脱脂術後1ヶ月の上方視です。

 

手術後2ヶ月

下眼瞼脱脂術後2ヶ月です。

 

手術後2ヶ月

下眼瞼脱脂術後2ヶ月の上方視です。

 

手術後3ヶ月

下眼瞼脱脂術後3ヶ月です。

 

手術後3ヶ月

下眼瞼脱脂術後3ヶ月の上方視です。

 

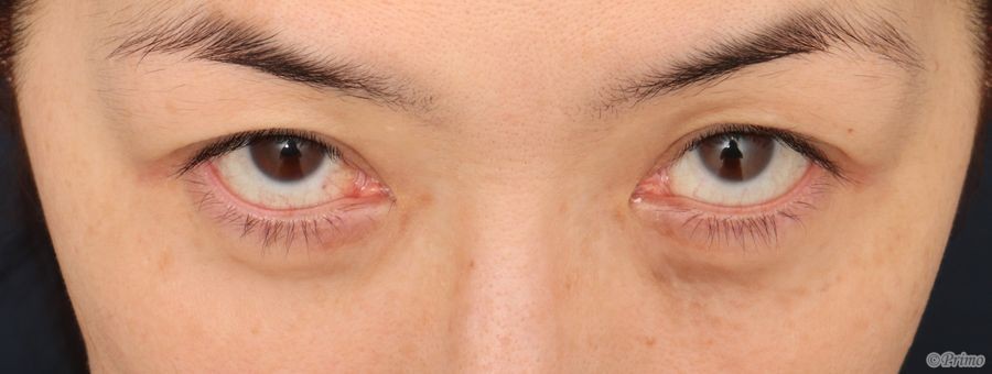
手術後6ヶ月

下眼瞼脱脂術後6ヶ月です。

目の下の膨らみが改善され、もともとある涙袋が出現しました。

 

手術後6ヶ月

下眼瞼脱脂術後6ヶ月の上方視です。

 

・費用(税込、麻酔代別)

 

下眼瞼脱脂術 ¥330,000

 

・リスク・副作用(起こり得る可能性のあること)

 

腫れ、内出血

瞼の違和感

結膜の傷跡

瞼の形態の変化

複視

 

© 2018 Primo All rights reserved.

メールで相談 カウンセリング予約 公式LINE オンライン診療 オンラインショップ 0120-062-069