L 蒙古襞形成術(目頭切開修正) 症例経過写真 | プリモ麻布十番クリニック 2503

症例写真

L 蒙古襞形成術(目頭切開修正) 症例経過写真

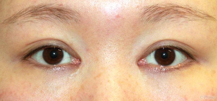
Before


手術前の目元です。
術前は他院で目頭切開を受けていましたが、目と目の間の距離が狭くなりすぎ、
涙湖の粘膜も見えすぎるということで、
当院で蒙古襞形成術(目頭切開修正術)を行いました。

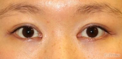
After


蒙古襞形成術手術後6ヶ月です。
術後は蒙古襞が形成でき、涙湖が少し隠れました。
自然な目元に近づきました。

手術前

術前trim

手術前の目元です。

手術後1週間

po1W

蒙古襞形成術手術後1週間です。

手術後2週間

po2W

蒙古襞形成術手術後2週間です。

手術後1ヶ月


蒙古襞形成術手術後1ヶ月です。

手術後2ヶ月


蒙古襞形成術手術後2ヶ月です。

手術後3ヶ月


蒙古襞形成術手術後3ヶ月です。

手術後6ヶ月


蒙古襞形成術手術後6ヶ月です。

・費用(税込、麻酔代別)

 

蒙古襞形成術 ¥385,000

 

・リスク・副作用(起こり得る可能性のあること)

 

腫れ、内出血

瞼の違和感

目頭の傷跡

瞼の形態の変化、二重の形の変化

ドッグイヤー

 

© 2018 Primo All rights reserved.

メールで相談 カウンセリング予約 公式LINE オンライン診療 オンラインショップ 0120-062-069