症例写真
M 蒙古襞形成術(目頭切開修正)+右二重埋没法4点固定 症例経過写真
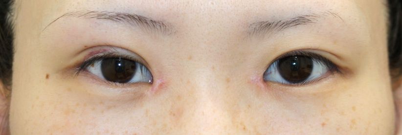
手術後3ヶ月

蒙古襞形成術(目頭切開修正)+右二重埋没法4点固定手術後3ヶ月です。
手術後3ヶ月

手術後3ヶ月の目を閉じたところです。
手術後6ヶ月

蒙古襞形成術(目頭切開修正)+右二重埋没法4点固定手術後6ヶ月です。
手術後6ヶ月

手術後6ヶ月の目を閉じたところです。
症例写真

蒙古襞形成術(目頭切開修正)+右二重埋没法4点固定手術後3ヶ月です。

手術後3ヶ月の目を閉じたところです。

蒙古襞形成術(目頭切開修正)+右二重埋没法4点固定手術後6ヶ月です。

手術後6ヶ月の目を閉じたところです。
MEDICAL
CONTENTS
BLOG
MOVIE
GUIDE
RECRUIT





