F 下眼瞼切開術(裏ハムラ法) 症例経過写真 | プリモ麻布十番クリニック 2503

症例写真

F 下眼瞼切開術(裏ハムラ法) 症例経過写真

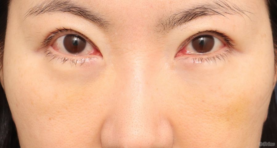
Before

手術前の正面です。

下まぶたのたるみを改善する目的で、

当院で下眼瞼切開術(裏ハムラ法)を行いました。

 

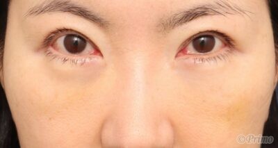
After

下眼瞼切開(ハムラ法)手術後3ヶ月です。

術後は下眼瞼の脂肪による目袋が目立たなくなり、目もとが若返りました。

 

手術前

手術前の正面です。

 

手術前

手術前の斜めからです。

 

手術前

手術前の横からです。

 

手術後1週間

下眼瞼切開(裏ハムラ法)手術後1週間です。

まだ腫れや内出血の影響がありますが経過とともに落ち着きます。

 

手術後1週間

手術後1週間の斜めからです。

 

手術後1週間

手術後1週間の横からです。

 

手術後2週間

下眼瞼切開(裏ハムラ法)手術後2週間です。

 

手術後2週間

手術後2週間の斜めからです。

 

手術後2週間

手術後2週間の横からです。

 

手術後3ヶ月

下眼瞼切開(裏ハムラ法)手術後3ヶ月です。

 

手術後3ヶ月

手術後3ヶ月の斜めからです。

 

手術後3ヶ月

手術後3ヶ月の横からです。

 

手術後10ヶ月

下眼瞼切開(裏ハムラ法)手術後10ヶ月です。

 

手術後10ヶ月

手術後10ヶ月の斜めからです。

下まぶたの凹凸がなくなりすっきりしました。

 

手術後10ヶ月

手術後10ヶ月の横からです。

 

・費用(税込、麻酔代別)

 

下眼瞼切開(裏ハムラ法) ¥495,000

 

・リスク・副作用(起こり得る可能性のあること)

 

腫れ、内出血、瞼の違和感、傷跡

感覚異常

埋没した吸収糸の露出

外反くま、複視

ドライアイ、流涙

 

© 2018 Primo All rights reserved.

メールで相談 カウンセリング予約 公式LINE オンライン診療 オンラインショップ 0120-062-069