G 下眼瞼切開術(裏ハムラ法) 症例経過写真 | プリモ麻布十番クリニック 2503

症例写真

G 下眼瞼切開術(裏ハムラ法) 症例経過写真

Before

手術前の正面です。

下まぶたのたるみが気になり改善したいということで、

当院で下眼瞼切開術(裏ハムラ法)を行いました。

 

After

下眼瞼切開(ハムラ法)手術後3ヶ月です。

眼窩脂肪を移動させたことで目の下のクマが目立たなくなりました。

 

手術前

手術前の正面です。

 

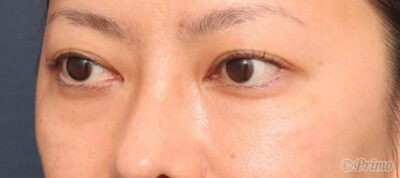
手術前

手術前の斜めからです。

 

手術前

手術前の横からです。

 

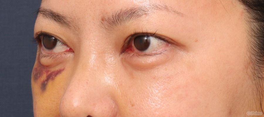
手術後1週間

下眼瞼切開(裏ハムラ法)手術後1週間です。

右下眼瞼に内出血がありますが次第に目立たなくなり消失します。

 

手術後1週間

手術後1週間の斜めからです。

 

手術後1週間

手術後1週間の横からです。

 

手術後2週間

下眼瞼切開(裏ハムラ法)手術後2週間です。

 

手術後2週間

手術後2週間の斜めからです。

 

手術後2週間

手術後2週間の横からです。

 

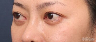
手術後6ヶ月

下眼瞼切開(裏ハムラ法)手術後6ヶ月です。

 

手術後6ヶ月

手術後6ヶ月の斜めからです。

眼窩脂肪を移動させたことで下まぶたの凹凸がなくなりすっきりしました。

 

手術後6ヶ月

手術後6ヶ月の横からです。

 

・費用(税込、麻酔代別)

 

下眼瞼切開(裏ハムラ法) ¥495,000

 

・リスク・副作用(起こり得る可能性のあること)

 

腫れ、内出血、瞼の違和感、傷跡

感覚異常

埋没した吸収糸の露出

外反くま、複視

ドライアイ、流涙

 

© 2018 Primo All rights reserved.

メールで相談 カウンセリング予約 公式LINE オンライン診療 オンラインショップ 0120-062-069