GH 二重埋没法6点固定+上眼瞼脱脂術+下眼瞼切開術(裏ハムラ法)後6ヶ月の経過写真 | プリモ麻布十番クリニック 美容整形ブログ 2503

GH 二重埋没法6点固定+上眼瞼脱脂術+下眼瞼切開術(裏ハムラ法)後6ヶ月の経過写真

手術前の目元です。

13年前に他院で埋没法を受けていらっしゃいましたが外れてしまったようです。

自然な二重ラインにしたい、まぶたのたるみや目の下のくまも気になるということで、

当院で二重埋没法6点固定+上眼瞼脱脂術+下眼瞼切開術(裏ハムラ法)を行いました。

 

二重埋没法6点固定+上眼瞼脱脂術+下眼瞼切開術(裏ハムラ法)後6ヶ月の経過写真です。

make upなしです。

きれいな二重が形成されました。

まぶたのたるみがなくなりすっきりしました。

 

手術前の斜めからです。

 

手術後6ヶ月の斜めからです。

目の下のクマが目立たなくなりました。

 

手術前の横からです。

 

手術後6ヶ月の横からです。

目の周りがすっきりしました。

 

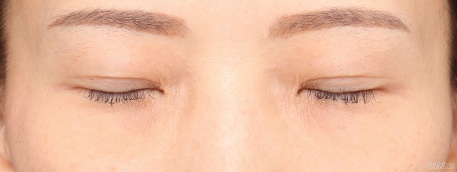
手術後6ヶ月の目を閉じたところです。

傷痕は目立ちません。

 

・費用(税込、麻酔代別)

 

二重埋没法6点固定     ¥176,000

上眼瞼脱脂術(セット割引) ¥132,000

下眼瞼切開術(裏ハムラ法) ¥440,000

 

・リスク・副作用(起こり得る可能性のあること)

 

腫れ、内出血、瞼の違和感、傷跡

埋没糸の露出

ラインの消失

逆さまつ毛

脂肪の摘出困難

上眼瞼の陥凹

感覚異常

外反くま、複視

ドライアイ、流涙

 


Author 美容形成外科医 大場 理事長/院長 ブログ

More posts by 美容形成外科医 大場 理事長/院長 ブログ

© 2018 Primo All rights reserved.

メールで相談 カウンセリング予約 公式LINE オンライン診療 オンラインショップ 0120-062-069