GM 二重埋没法6点固定+目頭切開手術後3ヶ月の経過写真 | プリモ麻布十番クリニック 美容整形ブログ 2503

GM 二重埋没法6点固定+目頭切開手術後3ヶ月の経過写真

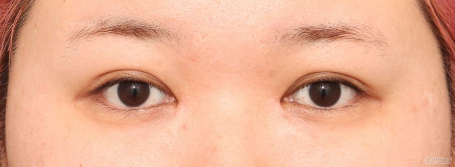
手術前の目元です。

はっきりとした二重にして目を大きくしたいというご希望から、

当院で二重埋没法6点固定+目頭切開を行いました。

 

二重埋没法6点固定+目頭切開手術後3ヶ月の経過写真です。

make upなしです。

6点固定によりしっかりとした二重ラインができました。

目頭切開によって目と目の間の距離も狭くなり、バランスが良くなりました。

 

手術後3ヶ月の目を閉じたところです。

 

・費用(税込、麻酔代別)

 

二重埋没法6点固定 ¥176,000

目頭切開術     ¥275,000

 

・リスク・副作用(起こり得る可能性のあること)

 

腫れ、内出血、瞼の違和感、傷跡

埋没糸の露出

ラインの消失

逆さまつ毛

埋没した吸収糸の露出

瞼の形態の変化

 


Author 美容形成外科医 大場 理事長/院長 ブログ

More posts by 美容形成外科医 大場 理事長/院長 ブログ

© 2018 Primo All rights reserved.

メールで相談 カウンセリング予約 公式LINE オンライン診療 オンラインショップ 0120-062-069