GO 眼瞼下垂手術+下眼瞼拡大術+下眼瞼脱脂術+下眼瞼逆さまつ毛手術後3ヶ月の経過写真 | プリモ麻布十番クリニック 美容整形ブログ 2503

GO 眼瞼下垂手術+下眼瞼拡大術+下眼瞼脱脂術+下眼瞼逆さまつ毛手術後3ヶ月の経過写真

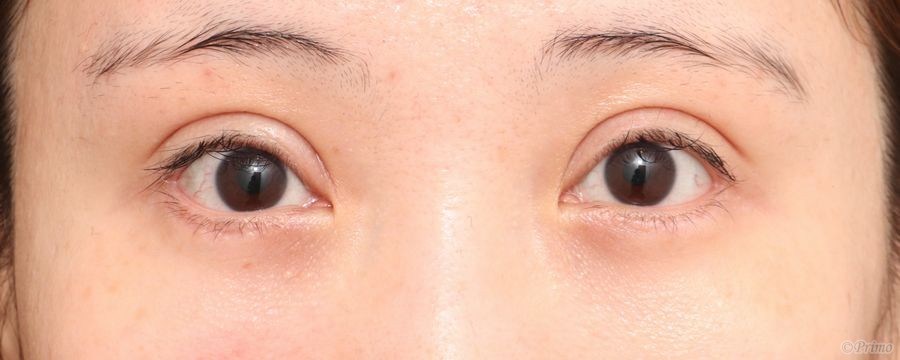
手術前の目元です。

目の開きが弱く、目の下のクマも気になるということで、

当院で眼瞼下垂手術+下眼瞼拡大術+下眼瞼脱脂術+下眼瞼逆さまつ毛手術を行いました。

 

眼瞼下垂手術+下眼瞼拡大術+下眼瞼脱脂術+下眼瞼逆さまつ毛手術後3ヶ月の経過写真です。

make upなしです。

目が開きやすくなり、二重のラインがきれいになりました。

下眼瞼拡大術の効果で目が下方向にも拡大しました。

 

手術前の斜めからです。

 

手術後3ヶ月の斜めからです。

目の下のくまが目立たなくなりました。

 

手術前の横からです。

 

手術後3ヶ月の横からです。

 

・費用(税込、麻酔代別)

 

眼瞼下垂手術        ¥660,000

下眼瞼拡大術        ¥440,000

下眼瞼脱脂術(セット割引) ¥165,000

逆さまつ毛手術       ¥220,000

 

・リスク・副作用(起こり得る可能性のあること)

 

腫れ、内出血、瞼の違和感、傷跡

睫毛側皮膚の知覚低下

埋没した吸収糸の露出

ラインの消失

瞼の形態の変化

三白眼逆さまつ毛、複視

外反

 


Author 美容形成外科医 大場 理事長/院長 ブログ

More posts by 美容形成外科医 大場 理事長/院長 ブログ

© 2018 Primo All rights reserved.

メールで相談 カウンセリング予約 公式LINE オンライン診療 オンラインショップ 0120-062-069