DQ 全切開+上眼瞼脱脂手術後6ヶ月の経過写真 | プリモ麻布十番クリニック 美容整形ブログ 2503

DQ 全切開+上眼瞼脱脂手術後6ヶ月の経過写真

手術前の目元です。

4年前に他院で埋没法を受けていらっしゃいましたが、糸が外れてしまっていました。

狭めの平行型二重にしたいということで、

当院で全切開+上眼瞼脱脂術を行いました。

 

全切開+上眼瞼脱脂術後6ヶ月の経過写真です。

make upなしです。

バランスの良いしっかりとした平行型二重が形成されました。

 

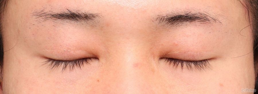
術後6ヶ月の目を閉じたところです。

 

・費用(税込、麻酔代別)

 

全切開+上眼瞼脱脂術 ¥385,000

 

・リスク・副作用(起こり得る可能性のあること)

 

腫れ、内出血

瞼の違和感

二重の傷跡

睫毛側皮膚の知覚低下

ラインの消失

瞼の形態の変化

 


Author 美容形成外科医 大場 理事長/院長 ブログ

More posts by 美容形成外科医 大場 理事長/院長 ブログ

© 2018 Primo All rights reserved.

メールで相談 カウンセリング予約 公式LINE オンライン診療 オンラインショップ 0120-062-069