CT 他院眼瞼下垂修正術手術後1週間の経過写真 | プリモ麻布十番クリニック 美容整形ブログ 2503

CT 他院眼瞼下垂修正術手術後1週間の経過写真

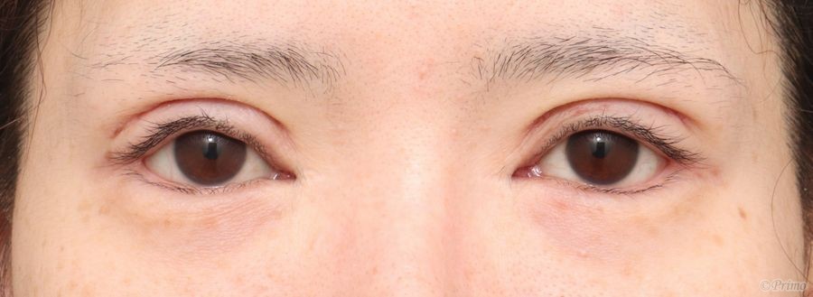
手術前の目元です。

術前は他院で埋没法、全切開、眼瞼下垂手術、下眼瞼拡大術を、

当院で7年前に下眼瞼拡大修正術を受けていらっしゃいました。

目の開きをさらに良くしたいというご希望から、他院眼瞼下垂修正術を行いました。

 

他院眼瞼下垂修正術後1週間の経過写真です。

make upなしです。

まだ腫れが目立ちますが次第に落ち着き開きやすくなります。

 

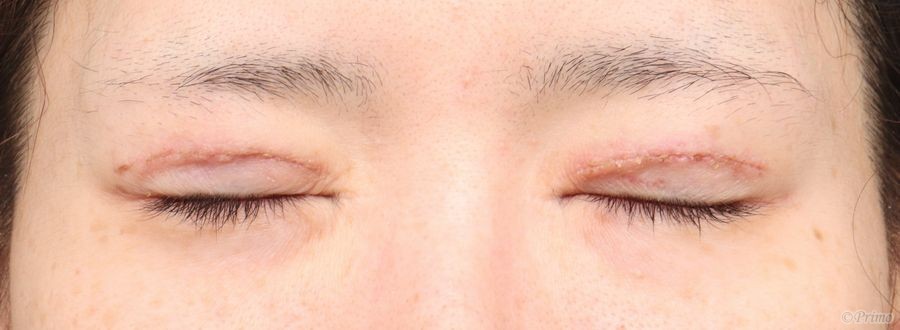
術前の目を閉じたところです。

 

術後1週間の目を閉じたところです。

 

・費用(税込、麻酔代別)

 

他院眼瞼下垂修正術 ¥880,000

 

・リスク・副作用(起こり得る可能性のあること)

 

腫れ、内出血

瞼の違和感

睫毛側皮膚の知覚低下

ラインの消失

瞼の形態の変化、顔の印象の変化

閉瞼不全、ドライアイ

ヘリング現象

 


Author 美容形成外科医 大場 理事長/院長 ブログ

More posts by 美容形成外科医 大場 理事長/院長 ブログ

© 2018 Primo All rights reserved.

メールで相談 カウンセリング予約 公式LINE オンライン診療 オンラインショップ 0120-062-069