CU 眼瞼下垂手術+二重修正術後1週間の経過写真 | プリモ麻布十番クリニック 美容整形ブログ 2503

手術前の目元です。

10年以上前に他院で埋没法、目頭切開、目尻切開を受けていらっしゃいました。

目の開きを改善し、二重を自然な幅に狭くする目的で、

当院で眼瞼下垂手術+二重修正術を行いました。

 

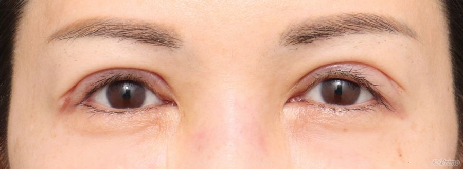
眼瞼下垂手術+二重修正術後1週間の経過写真です。

make upなしです。

まだ腫れが強い時期ですが目の開きが良くなりました。

 

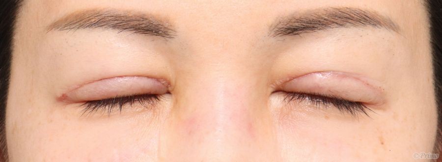
術後1週間の目を閉じたところです。

 

・費用(税込、麻酔代別)

 

眼瞼下垂手術             ¥660,000

二重修正術              ¥440,000

(組織の移動や移植を伴う複雑なもの) ¥550,000

 

・リスク・副作用(起こり得る可能性のあること)

 

腫れ、内出血

瞼の違和感

二重の傷跡

睫毛側皮膚の知覚低下

ラインの消失

瞼の形態の変化、顔の形態の変化

閉瞼不全、ドライアイ

ヘリング現象

 


Author 美容形成外科医 大場 理事長/院長 ブログ

More posts by 美容形成外科医 大場 理事長/院長 ブログ

© 2018 Primo All rights reserved.

メールで相談 カウンセリング予約 公式LINE オンライン診療 オンラインショップ 0120-062-069