BZ 二重修正術(重瞼修正切開術)手術後6ヶ月の経過写真 | プリモ麻布十番クリニック 美容整形ブログ 2503

BZ 二重修正術(重瞼修正切開術)手術後6ヶ月の経過写真

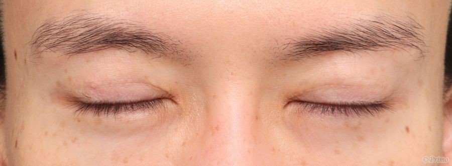
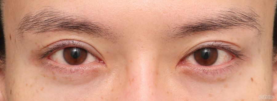
手術前の目元です。

半年前に他院で全切開、上眼瞼リフトを受けていらっしゃいました。

二重の幅を狭くしたいということで、

当院にて二重修正術を行いました。

 

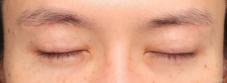
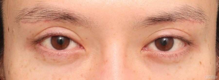
二重修正術術後6ヶ月の経過写真です。

make upなしです。

幅が狭くなり、自然な二重になりました。

 

手術前の目を閉じたところです。

 

手術後6ヶ月の目を閉じたところです。

 

・費用(税別、麻酔代別)

 

二重修正術           ¥440,000

(組織の移植を伴う複雑なもの) ¥550,000

 

・リスク・副作用(起こり得る可能性のあること)

 

腫れ、内出血

瞼の違和感

二重の傷跡

睫毛側皮膚の知覚低下

ラインの消失

瞼の形態の変化

 


Author 美容形成外科医 大場 理事長/院長 ブログ

More posts by 美容形成外科医 大場 理事長/院長 ブログ

© 2018 Primo All rights reserved.

メールで相談 カウンセリング予約 公式LINE オンライン診療 オンラインショップ 0120-062-069