HE 眼瞼下垂手術+下眼瞼拡大術手術後6ヶ月の経過写真 | プリモ麻布十番クリニック 美容整形ブログ 2503

HE 眼瞼下垂手術+下眼瞼拡大術手術後6ヶ月の経過写真

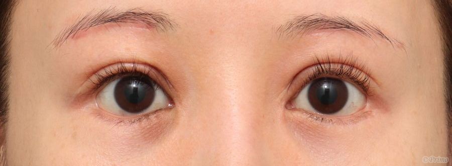
手術前の目元です。

10年前に他院で全切開、目頭切開を受けていらっしゃいました。

下垂を改善したれ目にしたいというご要望から、

当院で眼瞼下垂+下眼瞼拡大術を行いました。

 

眼瞼下垂手術+下眼瞼拡大術手術後6ヶ月後の経過写真です。

make upなしです。

術後は目の開きが良くなりました。

目が外側下方向へ拡大し、全体的に目が大きくなりました。

 

手術前の斜めからです。

 

手術後6ヶ月の斜めからです。

自然なたれ目に変化しました。

 

手術前の横からです。

 

手術後6ヶ月の横からです。

 

手術後6ヶ月の目を閉じたところです。

 

・費用(税込、麻酔代別)

 

眼瞼下垂手術 ¥660,000

下眼瞼拡大術 ¥440,000

 

・リスク・副作用(起こり得る可能性のあること)

 

腫れ、内出血、瞼の違和感、傷跡

埋没した吸収糸の露出

睫毛側皮膚の知覚低下

ラインの消失、瞼の形態の変化、顔の印象の変化

閉瞼不全、ドライアイ、ヘリング現象

三白眼逆さまつ毛、複視

 


Author 美容形成外科医 大場 理事長/院長 ブログ

More posts by 美容形成外科医 大場 理事長/院長 ブログ

© 2018 Primo All rights reserved.

メールで相談 カウンセリング予約 公式LINE オンライン診療 オンラインショップ 0120-062-069