BK 蒙古襞形成術(目頭切開修正)+他院埋没糸抜糸手術後3ヶ月の経過写真 | プリモ麻布十番クリニック 美容整形ブログ 2503

BK 蒙古襞形成術(目頭切開修正)+他院埋没糸抜糸手術後3ヶ月の経過写真

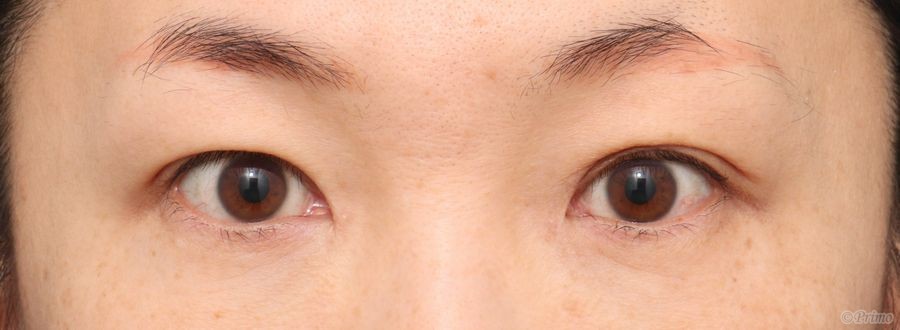
手術前の目元です。

他院で3週間ほど前に二重埋没法、z法による目頭切開、目頭の部分切開を受けていらっしゃいましたが、

不自然で元の状態に戻したいというご要望から、逆Z法による蒙古襞形成術を行いました。

また二重の食い込みが気になるということで、術後2週間で他院埋没糸抜糸を行いました。

 

蒙古襞形成術手術後3ヶ月の経過写真です。

make upなしです。

目頭に丸みができて自然な形状になり、バランスの良い目元になりました。

埋没糸抜糸によって二重の幅は狭くなりました。

 

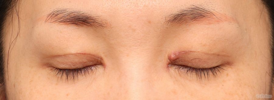
手術前の目を閉じたところです。

 

蒙古襞形成術手術後3ヶ月の目を閉じたところです。

傷跡は目立ちません。

 

・費用(税込、麻酔代別)

 

蒙古襞形成術(逆Z法)     ¥385,000

他院埋没糸抜糸(2点まで1点毎) ¥55,000

(3点目以降1点毎)       ¥11,000

 

・リスク・副作用(起こり得る可能性のあること)

 

腫れ、内出血

瞼の違和感

目頭の傷跡

瞼の形態の変化、二重の形の変化

ドッグイヤー

埋没糸の摘出不能、感染、二重が残る

 


Author 美容形成外科医 大場 理事長/院長 ブログ

More posts by 美容形成外科医 大場 理事長/院長 ブログ

© 2018 Primo All rights reserved.

メールで相談 カウンセリング予約 公式LINE オンライン診療 オンラインショップ 0120-062-069