L 下眼瞼逆さまつ毛手術 手術後3ヶ月の経過写真 | プリモ麻布十番クリニック 美容整形ブログ 2503

L 下眼瞼逆さまつ毛手術 手術後3ヶ月の経過写真

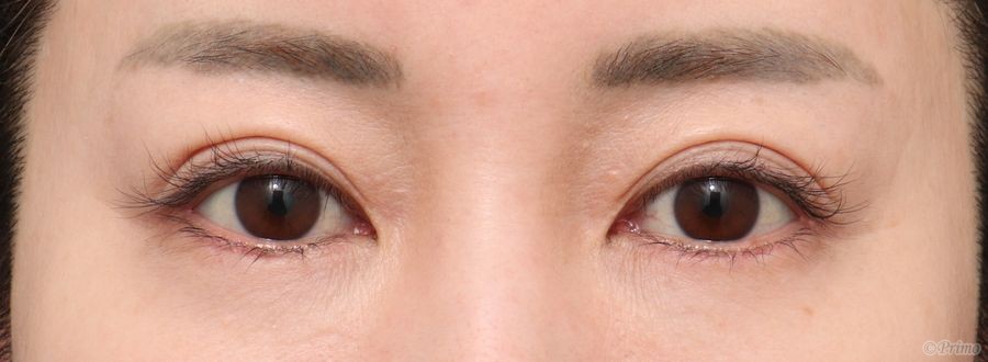
術前の正面からです。

下まぶたの逆さまつ毛の影響で眼球が傷ついてしまう状態でした。

改善を図るため当院にて下眼瞼逆さまつ毛手術を行いました。

 

術後3ヶ月の正面からです。

make upなしです。

まつ毛の向きが自然な下向きになり目に入らなくなりました。

 

術前のななめからです。

 

術後3ヶ月のななめからです。

 

術前の横からです。

 

術後3ヶ月の横からです。

術前は上向きだった下眼瞼のまつ毛が下向きになりました。

 

・費用(税込、麻酔代別)

 

逆さまつ毛手術 ¥220,000

 

・リスク・副作用(起こり得る可能性のあること)

 

腫れ、内出血、瞼の違和感

埋没した吸収糸の露出

外反

 


Author 美容形成外科医 大場 理事長/院長 ブログ

More posts by 美容形成外科医 大場 理事長/院長 ブログ

© 2018 Primo All rights reserved.

メールで相談 カウンセリング予約 公式LINE オンライン診療 オンラインショップ 0120-062-069