EA 全切開+上眼瞼脱脂手術後2週間の経過写真 | プリモ麻布十番クリニック 美容整形ブログ 2503

EA 全切開+上眼瞼脱脂手術後2週間の経過写真

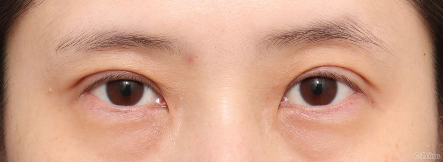
手術前の目元です。

まぶたの脂肪を取り除いてしっかりと二重のラインを形成する目的で、

当院で全切開+上眼瞼脱脂術を行いました。

 

全切開+上眼瞼脱脂術後2週間の経過写真です。

make upなしです。

しっかりとした二重が形成されました。

 

術後2週間の目を閉じたところです。

 

・費用(税込、麻酔代別)

 

全切開+上眼瞼脱脂術 ¥385,000

 

・リスク・副作用(起こり得る可能性のあること)

 

腫れ、内出血

瞼の違和感

二重の傷跡

睫毛側皮膚の知覚低下

ラインの消失

瞼の形態の変化

 


Author 美容形成外科医 大場 理事長/院長 ブログ

More posts by 美容形成外科医 大場 理事長/院長 ブログ

© 2018 Primo All rights reserved.

メールで相談 カウンセリング予約 公式LINE オンライン診療 オンラインショップ 0120-062-069