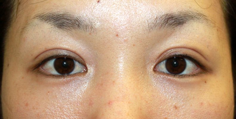
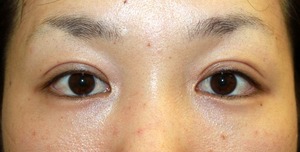
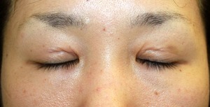
手術前の目もとです。 二重埋没法6点固定手術後5日目の経過写真です。 make up なしです。 術後ははっきりとした希望のラインになりました。 術後5日目の目を閉じたところです。 ・費用(税込、麻酔代別) 二重埋没法6点固定 ¥176,000 ・リスク・副作用(起こり得る可能性のあること) 腫れ、内出血 瞼の違和感 埋没糸の露出 ラインの消失 逆さまつ毛 埋没法 にほんブログ村 美容外科ブログランキングへ