
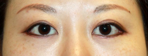
目尻切開+逆さまつ毛手術後2週間の経過写真です。
手術前の正面写真です。
手術前は目の外側の面積が大きく見えます。
手術後は目尻切開の効果で目が外側に大きくなり、
顔のバランスが良くなりました。
手術後2週間の斜めからです。
目が切れ長になりました。
手術前の斜めからです。
手術後2週間の横から見たところです。
白目の面積が大きくなりました。
手術前の横から見たところです。

目尻切開+逆さまつ毛手術後2週間の経過写真です。
手術前の正面写真です。
手術前は目の外側の面積が大きく見えます。
手術後は目尻切開の効果で目が外側に大きくなり、
顔のバランスが良くなりました。
手術後2週間の斜めからです。
目が切れ長になりました。
手術前の斜めからです。
手術後2週間の横から見たところです。
白目の面積が大きくなりました。
手術前の横から見たところです。
MEDICAL
CONTENTS
BLOG
MOVIE
GUIDE
RECRUIT





