E 蒙古襞形成術(目頭切開修正)手術後1ヶ月の経過写真 | プリモ麻布十番クリニック 美容整形ブログ 2503

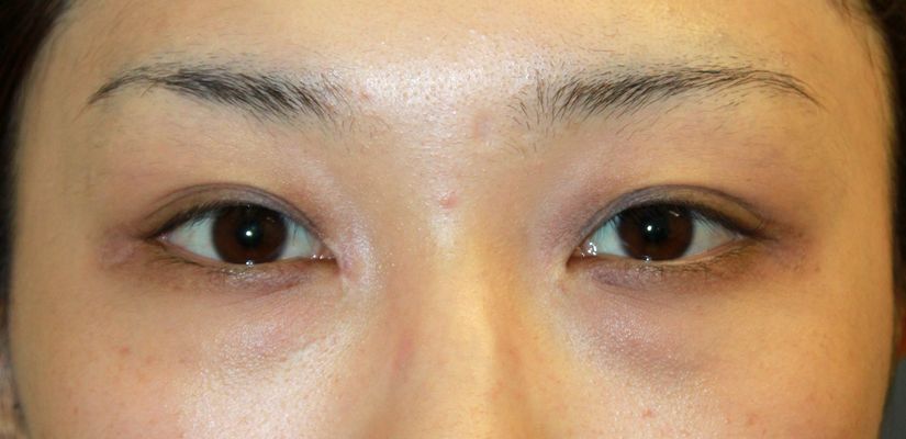
E 蒙古襞形成術(目頭切開修正)手術後1ヶ月の経過写真

po1M

右の蒙古襞形成術(目頭切開修正)手術後1ヶ月の経過写真です。

make upなしです。

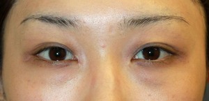
術前

手術前の目もとです。

右側のみをほんの少し戻して左に合わせるようにしたいという希望でした。

手術後は小さな蒙古襞が右側に形成され、

左にあった感じになりました。

マイルドな変化ですが、

ご本人様にとっては大きな印象の変化になるようです。

 

・費用(税込、麻酔代別)

 

蒙古襞形成術 ¥385,000

 

・リスク・副作用(起こり得る可能性のあること)

 

腫れ、内出血

瞼の違和感

目頭の傷跡

瞼の形態の変化、二重の形の変化

ドッグイヤー

 

 


Author 美容形成外科医 大場 理事長/院長 ブログ

More posts by 美容形成外科医 大場 理事長/院長 ブログ

Leave a Reply

© 2018 Primo All rights reserved.

メールで相談 カウンセリング予約 公式LINE オンライン診療 オンラインショップ 0120-062-069