
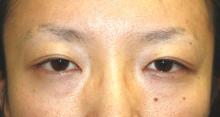
黒目が隠れ、まぶたが重く、眼瞼下垂の症状を呈しています。
皮膚のタルミも減らし、二重もしっかりと作りたいとのご希望で、
表からの眼瞼下垂手術を行いました。

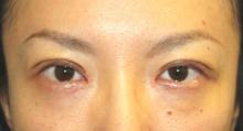
術後1週間で抜糸をおこないました。
まだ腫れが少し残っている時期です。

最大開瞼時です。
目が開きやすく、軽くなったとのことです。

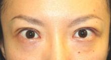
目を閉じた時です。
抜糸直後なので、
まだ傷が赤い時期ですが、
3か月ほどで綺麗になじんで、
わかりにくい状態になると思います。
肩こりも改善したようです。
プリモ麻布十番クリニック

黒目が隠れ、まぶたが重く、眼瞼下垂の症状を呈しています。
皮膚のタルミも減らし、二重もしっかりと作りたいとのご希望で、
表からの眼瞼下垂手術を行いました。

術後1週間で抜糸をおこないました。
まだ腫れが少し残っている時期です。

最大開瞼時です。
目が開きやすく、軽くなったとのことです。

目を閉じた時です。
抜糸直後なので、
まだ傷が赤い時期ですが、
3か月ほどで綺麗になじんで、
わかりにくい状態になると思います。
肩こりも改善したようです。
プリモ麻布十番クリニック
MEDICAL
CONTENTS
BLOG
MOVIE
GUIDE
RECRUIT





