H 二重修正術+眼瞼下垂手術後1週間の経過写真 | プリモ麻布十番クリニック 美容整形ブログ 2503


手術前の目元です。


二重修正術+眼瞼下垂手術後1週間の経過写真です。
make upなしです。
他院で受けた切開法による二重が広すぎるということで、
当院で二重を狭くする二重修正術+眼瞼下垂手術をおこないました。
術後1週間で腫れがまだありますが、
少し二重は狭くなっています。予定外重瞼線もありません。


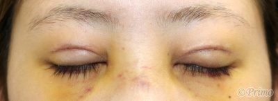
手術前の目を閉じたところです。


手術後1週間の目を閉じたところです。


Author 美容形成外科医 大場 理事長/院長 ブログ

More posts by 美容形成外科医 大場 理事長/院長 ブログ

© 2018 Primo All rights reserved.

メールで相談 カウンセリング予約 公式LINE オンライン診療 オンラインショップ 0120-062-069