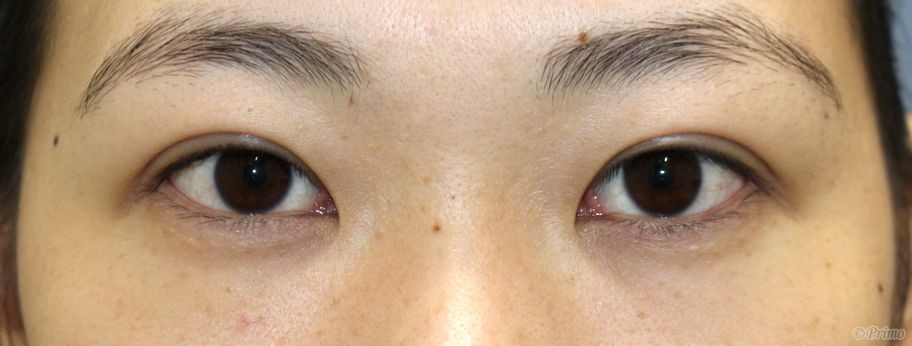
手術前の目元です。 二重埋没法6点固定+上眼瞼脱脂術+目尻切開手術後3ヶ月の経過写真です。 make upなしです。 自然な幅の二重を希望され当院で二重埋没法6点固定を行いました。 眼窩脂肪が二重のラインを妨げる予想から上眼瞼脱脂術も併用しています。 手術後3ヶ月の目を閉じたところです。 ・費用(税別、麻酔代別) 二重埋没法6点固定 ¥160,000 上眼瞼脱脂術(セット割引) ¥120,000 目頭切開術 ¥250,000 ・リスク・副作用(起こり得る可能性のあること) 腫れ、内出血、瞼の違和感、傷跡 埋没糸の露出 ラインの消失 逆さまつ毛 脂肪の摘出困難 上眼瞼の陥凹 埋没した吸収糸の露出 瞼の形態の変化 埋没法 上眼瞼脱脂術 目頭切開 にほんブログ村 美容外科ブログランキングへ Tags:6点固定上眼瞼脱脂術二重埋没法目尻切開